Porcelain Veneers
A confident, beautiful smile can make a world of difference in how you look, feel, and interact with others. We specialize in transforming smiles with custom porcelain veneers. Whether your goal is to correct chips, close gaps, permanently whiten your teeth, or improve alignment, veneers offer a versatile, long-lasting solution.
We believe every patient deserves a smile that reflects their personality and boosts their confidence. Porcelain veneers are one of the most effective ways to achieve a flawless, natural-looking smile.
What Are Porcelain Veneers?
Porcelain veneers are ultra-thin shells made from medical-grade ceramic that bond to the front surface of your teeth. Each veneer is carefully designed to match the color, shape, and size that complements your facial features and natural smile.
Key features of porcelain veneers:
- Stain-Resistant: Porcelain resists discoloration, so your smile stays bright longer than natural teeth
- Durable: Veneers can last for 10–20 years or more with proper care
- Custom Fit: Each veneer is tailored to your teeth for a natural appearance
- Minimally Invasive: Only a small amount of enamel is removed to place the veneer
Porcelain veneers provide a solution that is cosmetic and functional, restoring the appearance and confidence of your smile.
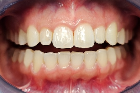
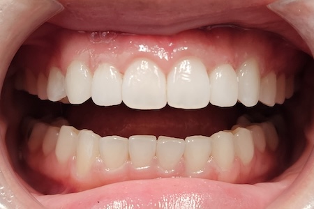
Move the slider to see the smile transformation
Types of Veneers We Offer
At Pelican Dental, we understand that every patient’s goals, timeline, and budget are different. That’s why we offer two main types of veneers: traditional porcelain veneers and direct resin veneers.
Traditional Porcelain Veneers
Traditional veneers are considered the gold standard in cosmetic dentistry. They are designed to create a dramatic and long-lasting improvement in the appearance of your teeth.
Benefits of traditional porcelain veneers include:
- Complete smile makeovers
- Correction of severe discoloration
- Alignment and spacing correction
- Improved symmetry and balance
- Stain-resistant surfaces
- Long-term durability and natural aesthetics
Direct Resin Veneers
Direct resin veneers offer a more affordable and minimally invasive option. These veneers are crafted from high-quality dental resin and applied directly to your teeth, often in a single visit.
Benefits of direct resin veneers include:
- Budget-friendly solution
- Natural-looking results
- Same-day treatment
- Minimal enamel removal
- Easy repair if damaged
While resin veneers may not last as long as porcelain, they still provide a natural-looking smile and can be an excellent choice for patients who want quick results.

Benefits of Porcelain Veneers
Veneers are more than just a cosmetic upgrade. They offer functional and aesthetic benefits that can transform your smile and improve oral health.
Top benefits include:
- Correct Imperfections: Cover chips, cracks, and worn teeth
- Whiten Teeth Permanently: Resistant to stains from coffee, wine, and smoking
- Close Gaps: Even out spacing for a symmetrical smile
- Improve Tooth Shape and Size: Make teeth appear longer, wider, or more uniform
- Boost Confidence: Enhance your overall appearance and self-esteem
- Durable and Long-lasting: With proper care, porcelain veneers can maintain their beauty for many years
Veneers can make a noticeable difference in your personal and professional life and give you the confidence to smile freely in any situation.
What to Expect During Your Veneer Journey
Understanding the process of getting veneers can help you feel more confident and prepared. At Pelican Dental, we guide you through every step to ensure a smooth, comfortable experience.
Step 1: Consultation
During your initial visit, our team will evaluate your teeth, discuss your goals, and help you decide which type of veneer is best for your smile. We may take photographs and impressions to create your personalized plan.
Step 2: Preparation
For porcelain veneers, a small amount of enamel is gently removed to make room for the veneer. This step ensures a natural fit and long-lasting results. Resin veneers may require minimal or no enamel removal.
Temporary veneers may be placed while your permanent ones are being created.
Step 3: Custom Fabrication
Your veneers are crafted to match your tooth color and shape. Porcelain veneers are created in a dental lab, while resin veneers are often sculpted directly in the office.
Step 4: Placement and Bonding
The veneers are carefully bonded to your teeth using a strong dental adhesive. Our team ensures proper fit, alignment, and comfort before finalizing the bonding process. The result is a smile that looks natural and feels comfortable.
Step 5: Aftercare and Maintenance
After your veneers are placed, we provide guidance on proper care to maintain your new smile. Regular oral care and dental checkups help keep your veneers looking beautiful for years to come.
Are Veneers Right for You?
Veneers are a great option for patients who want to:
- Fix chipped, cracked, or worn teeth
- Cover deeply stained teeth that do not respond to whitening treatments
- Close gaps between teeth
- Improve the size and shape of teeth
- Achieve a balanced, symmetrical smile
During your consultation at Pelican Dental, our team will carefully evaluate your teeth and discuss whether veneers are the best solution for your needs. In some cases, alternative treatments like bonding, crowns, or orthodontics may be recommended.


Gingivectomy, Whitening, Veneers
Caring for Your Veneers
Porcelain and resin veneers are designed to be low-maintenance, but proper care is essential to extend their lifespan and maintain a beautiful smile.
Tips for caring for your veneers:
Following these guidelines can help your veneers last for many years, keeping your smile bright and healthy.
Why Choose Pelican Dental for Your Veneers?
Our experienced team combines advanced technology with artistic skill to create custom smiles. We are committed to understanding your vision and designing veneers that enhance your facial features while boosting your confidence.
Reasons patients choose us:

We take the time to educate you on the process, so you feel confident and informed every step of the way.
Frequently Asked Questions About Veneers
Start Your Smile Transformation Today
Imagine smiling without hesitation, feeling confident in every photo, and loving the way your teeth look. At Pelican Dental, we make that dream a reality with custom veneers designed just for you.
Take the first step toward a brighter, more confident smile by booking your consultation today. Let our team create a smile that perfectly fits your face and lifestyle. Your perfect smile is waiting, and there is no better time to start turning heads with every smile.


