Look BOok

Before

After
Gum Grafts

Before

After
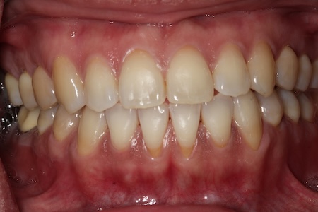
Gingivectomy, Whitening, Veneers

Before

After
Gum Grafts

Before

After
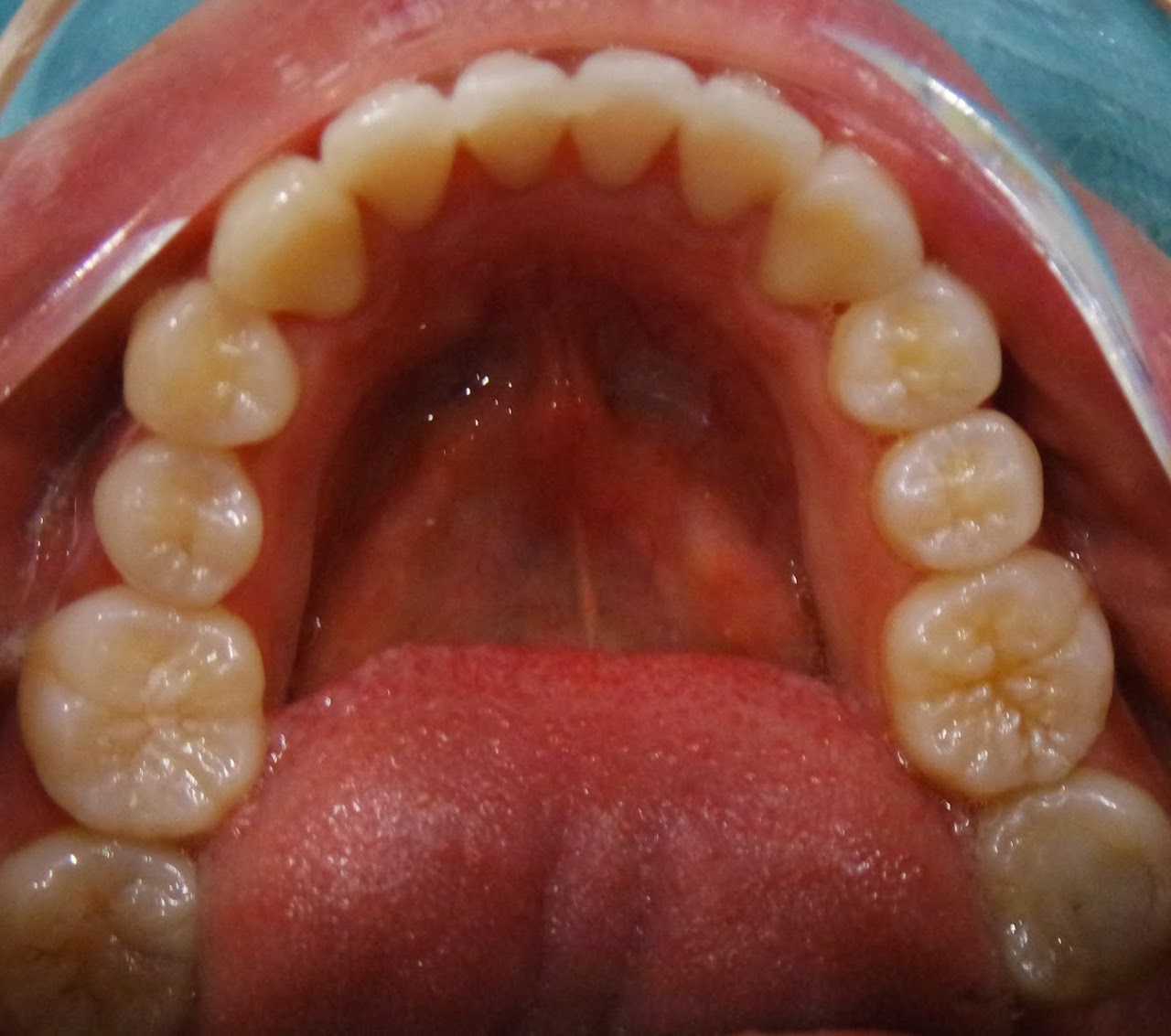
Invisalign

Before

After
Veneers and Invisalign

Before
Crowded and worn-down teeth

After
Invisalign, whitening and resin bonding. No teeth cutting!

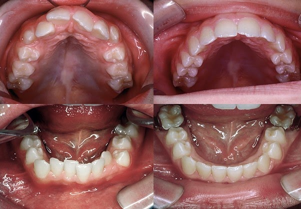
Before
Severe crowding and blocked out teeth

After
18 mo Self-ligating braces and resin bonding

Before
Crowded and narrow arch

After
Invisalign 7 months

Before
Crowded and edge-to-edge teeth

After
Invisalign

Before
Crowded lower front teeth

During treatment
Hidden braces

After
5 mo later:
Straight and healthy teeth
The Healthy Start System

After
